Analysis of the Causes of Hot Forging Die Failure of Valve Forgings
Analysis of the Causes of Hot Forging Die Failure of Valve Forgings
Oct 21, 2024
On this page
The die is a critical component in the hot forging process. The quality of the die directly impacts both the production efficiency and the product quality of the valve forgings. Die failure frequently occurs during the production process. Through storm treatment, surfacing repair, and CNC forming of the used die with a cracked cavity, the "scrapped" die can be reused, extending its service life and significantly improving the surface quality of the product.
Die failure frequently occurs during the production process. The specific causes are analyzed as follows:
(1) Segregation of the chemical composition in raw materials and slag inclusions are excessive.
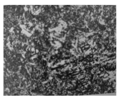
As shown in Figure 1, the fiber structure of 5CrNiMo reveals that the segregation of alloy elements leads to an uneven microstructure. After annealing, a banded microstructure appears due to elemental segregation. After quenching, the structure transforms into the fibrous microstructure shown in the figure. The grain size and the thickness of the martensite vary depending on the distribution of the fibers. There is even a banded microstructure that remains unquenched. The uneven microstructure increases the internal stress. Figure 2 shows a carbide segregation band in H13 steel, with dense black carbide spots, which is a key factor in the early aging of medium-sized molds.

Figure 1 500x magnification of chemical composition segregation

Figure 2 500x magnification of chemical composition segregation
(1) Segregation of the chemical composition in raw materials and slag inclusions are excessive.
As shown in Figure 1, the fiber structure of 5CrNiMo reveals that the segregation of alloy elements leads to an uneven microstructure. After annealing, a banded microstructure appears due to elemental segregation. After quenching, the structure transforms into the fibrous microstructure shown in the figure. The grain size and the thickness of the martensite vary depending on the distribution of the fibers. There is even a banded microstructure that remains unquenched. The uneven microstructure increases the internal stress. Figure 2 shows a carbide segregation band in H13 steel, with dense black carbide spots, which is a key factor in the early aging of medium-sized molds.

Figure 1 500x magnification of chemical composition segregation

Figure 2 500x magnification of chemical composition segregation
(2) Folding occurs during forging, resulting in a low forging ratio and incomplete forging.
Figure 3 shows that the matrix consists of banded, needle-shaped troostite; the white block is ferrite, and the black block is pearlite, displaying clear banded segregation. 5CrMnMo tends to develop dendritic segregation during solidification, which transforms into a banded structure along the deformation direction during forging. Because alloy elements diffuse slowly at high temperatures, even after a period of annealing, banded segregation remains, leading to a banded microstructure that causes the steel's mechanical properties to become directional. As a result, the structure and mechanical properties of the forging die become uneven, significantly reducing the die's service life.

Figure 3 500x magnification of banded structure

Figure 3 500x magnification of banded structure
(3) Lack of Timely Annealing or Insufficient Annealing After Forging
Since 5CrMnMo, H13, and other alloys contain a higher concentration of alloying elements that enhance hardenability, a martensite structure can be obtained through air cooling after forging. Therefore, forgings should be annealed promptly to eliminate forging stress and reduce hardness, facilitating processing, while also refining the grains and improving the structure. If annealing is delayed or incomplete, stress concentration in the martensite structure will occur, leading to cracking in the forging die and preventing it from meeting final heat treatment requirements.
(4) The quenching temperature is too low.
As shown in Figure 4, after heating and holding at 790°C, quenching into a 170°C alkaline bath for 4 minutes at constant temperature, and then air cooling, the matrix forms fine needle-shaped martensite with a very small amount of residual austenite. In addition, a small amount of undissolved ferrite with a hardness of 52HRC is present, which indicates a microstructure of under-quenching. Since the Acl of 5CrMnMo steel is 710°C and Ac3 is 760°C, the normal quenching temperature is 820–850°C. Oil cooling is used, and the oil outlet temperature is set to 150–200°C. Due to the low quenching temperature, a small portion of ferrite remains undissolved in the matrix, resulting in a lower hardness of the forging die, which is insufficient to meet operational requirements.
As shown in Figure 4, after heating and holding at 790°C, quenching into a 170°C alkaline bath for 4 minutes at constant temperature, and then air cooling, the matrix forms fine needle-shaped martensite with a very small amount of residual austenite. In addition, a small amount of undissolved ferrite with a hardness of 52HRC is present, which indicates a microstructure of under-quenching. Since the Acl of 5CrMnMo steel is 710°C and Ac3 is 760°C, the normal quenching temperature is 820–850°C. Oil cooling is used, and the oil outlet temperature is set to 150–200°C. Due to the low quenching temperature, a small portion of ferrite remains undissolved in the matrix, resulting in a lower hardness of the forging die, which is insufficient to meet operational requirements.

Figure 4 500x magnification of Paralympic structure
(5) The heat treatment temperature is too high, causing overheating and overburning.
As shown in Figure 5, after heating and maintaining a temperature of 920°C, quenching is performed in a 260°C nitrate bath for 4 minutes at a constant temperature, followed by air cooling. The matrix consists of coarse tempered martensite and a small amount of residual austenite, with a hardness of 58HRC, indicating an overheated quenching structure. The high heating temperature causes significant growth of austenite grains, resulting in a coarse martensite structure after quenching, which deteriorates the mechanical properties of the forging die.

Figure 5 500x magnification of overheating and overburning
(6) Uneven heating
When the mold is large and the cavity is complex, without proper preheating, the heating speed can be too fast. This leads to a significant temperature difference between the inside and outside, generating thermal stress and causing mold failure.
(7) The cooling temperature is too low
During the cooling process, excessive cooling time causes the mold temperature to drop below 150°C, leading to cracks in the mold.
As shown in Figure 5, after heating and maintaining a temperature of 920°C, quenching is performed in a 260°C nitrate bath for 4 minutes at a constant temperature, followed by air cooling. The matrix consists of coarse tempered martensite and a small amount of residual austenite, with a hardness of 58HRC, indicating an overheated quenching structure. The high heating temperature causes significant growth of austenite grains, resulting in a coarse martensite structure after quenching, which deteriorates the mechanical properties of the forging die.

Figure 5 500x magnification of overheating and overburning
(6) Uneven heating
When the mold is large and the cavity is complex, without proper preheating, the heating speed can be too fast. This leads to a significant temperature difference between the inside and outside, generating thermal stress and causing mold failure.
(7) The cooling temperature is too low
During the cooling process, excessive cooling time causes the mold temperature to drop below 150°C, leading to cracks in the mold.
(8) The oil outlet temperature is excessively high.
The high oil outlet temperature during the cooling process causes upper bainite to form in the core of the mold. As shown in Figure 6, the central part of the cracked mold is depicted. The black structure represents bainite, with the needle-shaped form being lower bainite, the row-shaped form being upper bainite, and the lath-shaped form being transitional bainite. The gray-white background shows the martensite and residual bainite formed during air cooling after removal from the isothermal tank. The transformation of the mold's core into bainite is a key factor in its early failure. During quenching, to prevent cracking, the mold is often tempered, which causes the core to transform into upper bainite. The mold core is not cooled below the Ms point before being removed from the isothermal tank and tempered, leading to mold failure.

Figure 6 500x magnification of bainite
(9) Insufficient tempering

Figure 6 500x magnification of bainite
(9) Insufficient tempering
As shown in Figure 7, after heating and holding at 840°C, the mold is quenched in cold oil, cooled to approximately 200-300°C, removed from the oil, air-cooled, and then tempered immediately at 460°C for 45 minutes. The matrix consists of tempered troostite with a small amount of tempered martensite. The tempered martensite is star-shaped and has a hardness of 47HRC. Due to insufficient tempering and holding time, the mold's hardness leans toward the upper limit, making it relatively brittle.
Figure 7 500x magnification of tempered troostite
Figure 7 500x magnification of tempered troostite
(10) The hardness of the dovetail section is excessively high.
As shown in Figure 8, after heating and holding at 840°C, the part is quenched in cold oil, cooled to approximately 200-300°C, removed from the oil, air-cooled, and then tempered at 580°C for 15 minutes. The matrix consists of tempered troostite, with a small amount of tempered martensite, and has a hardness of 41–42 HRC. The dovetail section of the forging die is directly connected to the connecting rod. Its working conditions differ significantly from those of the forging die's working surface. The working surface of the forging die requires higher hardness for wear resistance, as well as greater strength and a certain level of toughness. The dovetail section, in addition to requiring adequate strength, is expected to possess higher toughness.

Figure 8 500x magnification of tempered troostite
(11) The forging energy is excessively high.
The forging energy of modern screw presses is high relative to the size of the forgings, which can easily cause brittle fractures during operation.
(12) Tempering is not preceded by preheating.
During the cooling process of the mold, the cooling rates of the surface and core differ. Consequently, after the mold is oiled, the temperature difference between the surface and core is approximately 250 ± 30°C. If low-temperature preheating is not conducted during tempering, cracking may occur due to thermal stress.
(13) The initial forging temperature of the mold is insufficiently low.
The mold must be preheated to a temperature range of 180 to 220°C before each forging operation. If the preheating time is too short and the mold cavity temperature is too low, cracking during forging is likely to occur.
Next: Measures to Address Hot Forging Die Failures in Valve Forgings
Previous: Manufacturing Process of Forged Valve Bodies
News
About Us
Best Categories
Useful Links